Заметные возрастные изменения на лице — особый повод
Как приготовить легендарный сливочный пломбир, как
Средство из 3 компонентов избавит от такой ужасной
Если вы из тех, кто не представляет кофе-брейк или
В современном мире, где дети непрерывно развиваются
Женщины, которые пытаются похудеть, давно смирились
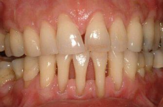
Опущение десен — распространенная проблема полости рта.
Очень вкусно и сытно Любите сбалансированную еду?









